Cercetătorii au găsit o posibilă metodă de vindecare a sindromului Down

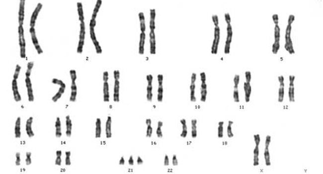
Astfel, boala care iniţial a purtat numele de trisomie 21, este cauzată de un al treilea cromozom 21, care este în plus şi care are nenumărate efecte neexplicate asupra dezvoltării creierului şi asupra funcţiilor corpului.
Acum, oamenii de ştiinţă de la Universitatea din Massachusetts au declarat că au inserat o genă în acest cromozom, dezactivându-l. Specialiştii susţin că este pentru prima dată când corecţia a funcţionat la un cromozom întreg, o „bobină” de ADN care este împânzită de sute de gene, acele coduri care produc proteine pentru a crea viaţa sustenabilă.
Oamenii care nu suferă de sindromul Down se nasc cu 23 de cromozomi printre care se numără şi doi cromozomi de sex, care la femei sunt X X iar la bărbaţi sunt X şi Y. Specialiștii au explicat că atunci când embrionul feminin se află într-un stadiu timpuriu de dezvoltare, o genă specială numită XIST intra în acţiune dezactivând unul dintre cei doi cromozomi X astfel încât să nu apară o hiperfuncţie.
Cercetătorii au speculat că XIST ar putea să dezactiveze cel de-al treilea cromozom pe care îl au indivizii care suferă de sindromul Down. Cercetarea a fost realizată pe aşa-numitele celule stem pluripotente, sau celule care au fost reprogramate pentru a se transforma în alte tipuri de celule.
Încântaţi de observaţiile din laborator, oamenii de ştiinţă lucrează acum la testarea tehnicii pe şoarecii modificaţi genetic pentru a avea trisomie 21. Cercetătorii speră că rezultatele actualelor teste vor fi gata într-un an. Însă, testele pe animale sunt o parte incipientă din lungul proces de evaluarea a unui nou potenţial medicament.
În plus, specialiştii nu exclud nici posibilitatea ca la şoareci tehnica să funcţioneze diferit de cum ar face-o în rândul oamenilor.
„Cred că importanţa acestei realizări stă în faptul că acum tratamentul este imaginabil şi nu în faptul că va funcţiona tehnica noastră”, a explicat Jeanne Lawrence.
Cel mai important lucru este că cercetarea are potenţialul de a ajuta la o mai bună înţelegere a sindromului Down, ceea ce ar putea duce la dezvoltarea unor tratamente care să blocheze măcar o parte din efectele cromozomului.
„Sindromul Down are diferite grade de severitate. Sunt mulţi oameni care deşi suferă de sindromul Down sunt foarte aproape de pragul în care reuşesc să se întreţină singuri sau să aibă o slujbă, drept urmare pe aceşti oameni i-am putea ajuta”, a adăugat Lawrence.
Via descopera.ro